病理学实验考试复习[PMED完全版](5)
网络资源 免费考研网/2009-01-14
细胞,组织的适应和损伤切片
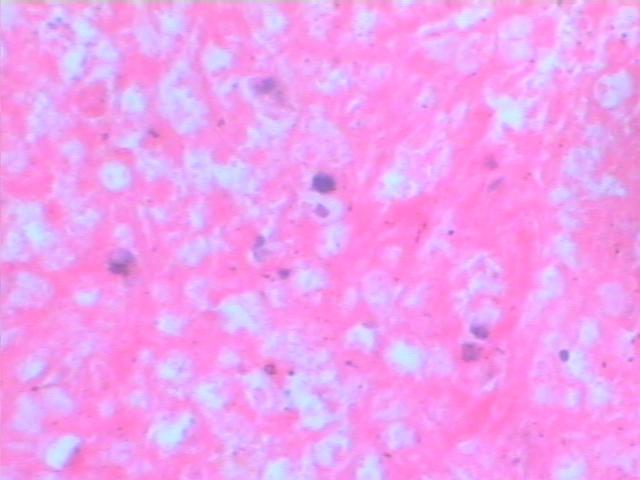
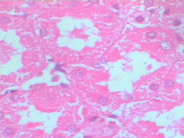
肾水变性
hydropic degeneration of kidney
1.低倍镜:认出肾组织,注意肾近曲小管的形态变化,见管腔变小且不规则。
2.高倍镜:
①近曲小管上皮细胞肿胀,且向腔内突出,细胞界限不清,胞浆内布满红染的微细颗粒(即:肿胀的线粒体和扩张的内质网),部分上皮细胞因极度肿胀破裂,致使腔内有红染的颗粒状蛋白性物质堆积
②间质毛细血管受压,管腔变小
脾小动脉透明变性
hyaline degeneration of splenic arteries
1.低倍镜:识别脾脏正常组织结构,注意观察脾中央动脉,其管壁增厚、管腔变小,甚至闭塞.
2.高倍镜;中央动脉管壁增厚,变成红染、均匀一致、具有折光性的蛋白物质。管腔狭窄甚至闭塞.
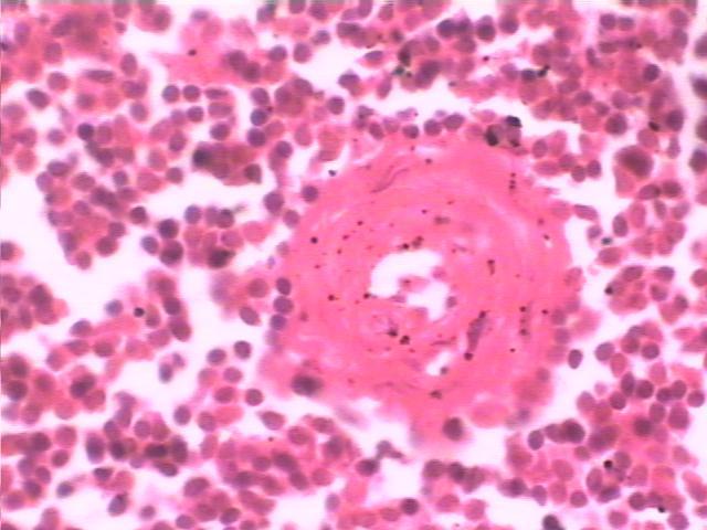
病理性钙化
pathological calcification
钙盐呈蓝色颗粒状
槟榔肝 nutmeg liver
1.肝脏体积增大,被膜紧张,暗红色;
2.切面可见红黄相间的网络状图纹,似中药槟榔
肾贫血性梗死anemic infarct of kidney 和 脾贫血性梗死anemic infarct of spleen
1.脏器表面和切面见一灰白色三角形坏死灶;
2.坏死组织质地干燥、致密稍硬,与正常脾脏组织分界清楚,周围可见暗红色或棕黄色充血出血带。
小肠出血性梗死hemorrhagic infarct of intestine
1.已剖开的小肠一段,灰白、壁较薄,粘膜皱襞清晰的为正常肠段
2.梗死的肠段呈黑褐色,无光泽,肠壁肿胀增厚,粘膜皱襞增粗或消失
3.梗死段与正常肠壁分界较清楚
肾水变性
hydropic degeneration of kidney
1.低倍镜:认出肾组织,注意肾近曲小管的形态变化,见管腔变小且不规则。
2.高倍镜:
①近曲小管上皮细胞肿胀,且向腔内突出,细胞界限不清,胞浆内布满红染的微细颗粒(即:肿胀的线粒体和扩张的内质网),部分上皮细胞因极度肿胀破裂,致使腔内有红染的颗粒状蛋白性物质堆积
②间质毛细血管受压,管腔变小
脾小动脉透明变性
hyaline degeneration of splenic arteries
1.低倍镜:识别脾脏正常组织结构,注意观察脾中央动脉,其管壁增厚、管腔变小,甚至闭塞.
2.高倍镜;中央动脉管壁增厚,变成红染、均匀一致、具有折光性的蛋白物质。管腔狭窄甚至闭塞.
病理性钙化
pathological calcification
钙盐呈蓝色颗粒状
槟榔肝 nutmeg liver
1.肝脏体积增大,被膜紧张,暗红色;
2.切面可见红黄相间的网络状图纹,似中药槟榔
肾贫血性梗死anemic infarct of kidney 和 脾贫血性梗死anemic infarct of spleen
1.脏器表面和切面见一灰白色三角形坏死灶;
2.坏死组织质地干燥、致密稍硬,与正常脾脏组织分界清楚,周围可见暗红色或棕黄色充血出血带。
小肠出血性梗死hemorrhagic infarct of intestine
1.已剖开的小肠一段,灰白、壁较薄,粘膜皱襞清晰的为正常肠段
2.梗死的肠段呈黑褐色,无光泽,肠壁肿胀增厚,粘膜皱襞增粗或消失
3.梗死段与正常肠壁分界较清楚
相关话题/
领限时大额优惠券,享本站正版考研考试资料!
优惠券领取后72小时内有效,10万种最新考研考试考证类电子打印资料任你选。涵盖全国500余所院校考研专业课、200多种职业资格考试、1100多种经典教材,产品类型包含电子书、题库、全套资料以及视频,无论您是考研复习、考证刷题,还是考前冲刺等,不同类型的产品可满足您学习上的不同需求。 ...考试优惠券 本站小编 Free壹佰分学习网 2022-09-19
Free考研考试FreeKaoYan.Com
欢迎来到Free考研考试,"为实现人生的Free而奋斗"
© 2020 FreeKaoYan! . All rights reserved.
